河北一洲肿瘤医院成功完成罕见儿童脑瘤治疗,成果论文登上国际知名期刊
星形母细胞瘤(Astroblastoma),是一种极为罕见的颅内胶质瘤,在2021年世界卫生组织(WHO)的分类中,其MN1基因异常型被正式确立。这种肿瘤的发病率极低,目前全国范围内的报告不到百例,其诊断与治疗在全球范围内都缺乏统一的指南和共识,对任何医疗团队都是一项严峻挑战。
然而,以清水翔星(Shosei Shimizu)副院长领导的河北一洲肿瘤医院的专家团队,凭借专业积累和国际化的诊疗协作,成功为一名年仅4岁的星形母细胞瘤女童点亮新生希望。近日,记录这一成功治疗案例的临床研究论文《病例报告:使用质子治疗和伽玛刀治疗罕见儿童星形母细胞瘤的多模式治疗——病例报告和文献综述》,在国际知名肿瘤学期刊《Frontiers in Oncology》(最新影响因子3.3)上发表,再次向国际同行展示了医院在罕见、复杂肿瘤治疗领域的实力。
这名4岁女童因右下肢无力、步态不稳,才来到河北一洲肿瘤医院。经过一系列精密检查,她被确诊为CNS WHO 3级、伴有MN1基因异常的高级别星形母细胞瘤——一种罕见且极具侵袭性的疾病。
面对没有现成治疗指南可循的困境,清水翔星专家团队深知此病例的复杂性与艰巨性。团队判断必须采用超越常规的、以尖端放疗技术为核心的综合治疗策略。最终,专家团队为患儿量身定制了一套以“质子治疗”与“伽马刀”前后协同的“序贯多模式”精准治疗方案。
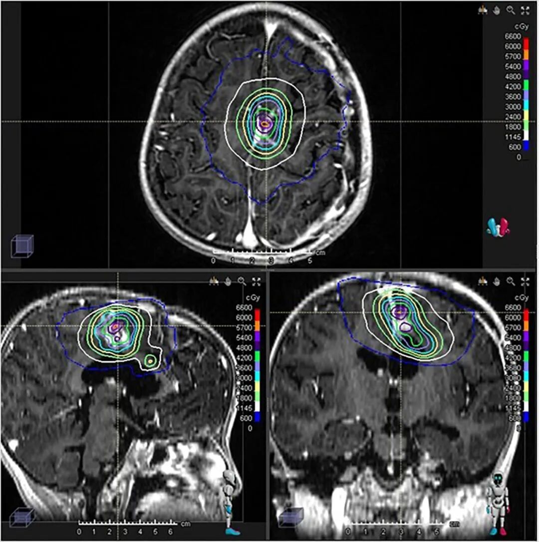
第一步:质子治疗“先手布局”,为后续治疗保留“窗口”
在为患儿进行了大范围的安全手术切除后,治疗团队选择了医院的质子治疗(PBT)进行术后辅助放疗。质子治疗凭借其独特的“布拉格峰”物理优势,能够将放射剂量精准集中在肿瘤区域,同时最大限度地保护周围的正常脑组织。这一步不仅是精准的初步治疗,更是一次极具远见的“布局”——通过减少对健康组织的损伤,为后续可能需要的再次放疗保留了宝贵的“窗口期”。
第二步:“伽马刀”精准“收官”,完成最后一击
质子治疗后,团队曾采用靶向药物治疗以稳定病情。由于仍有少量肿瘤残留,在进行二次手术后,团队果断启用伽马刀(GKRS)进行“最后一击”。正是得益于前期质子治疗对周围正常组织的良好保护,才使得后续高剂量的、高度聚焦的伽马刀治疗得以安全、有效实施,最终对残余病灶进行了彻底处理。
这一“质子+伽马刀”的联合放疗策略,充分体现了在处理复杂、罕见肿瘤时,不仅要着眼于当下的治疗效果,更要为未来的可能性做好规划。正是这种先进的放疗组合拳,最终为这名4岁患儿赢得了无复发的稳定病情和高质量的童年生活。
患者从治疗前的步履蹒跚到如今的自由奔跑(迄今已18个月),这一成功诊疗案例的背后,是清水翔星专家团队多年积累的“经验判断”。这种经验判断,并非凭空而来,它源自长期积累和系统化的多学科协作(MDT)机制。
清水翔星在论文中介绍道:“本病例体现了在处理复杂而罕见的肿瘤时,充分发挥多方面的知识与经验,并通过中日合作而取得成功的治疗范例。”每一次决策背后,都凝聚着以清水翔星、以及日本顶尖专家樱井英幸教授、秋元哲夫教授组成的“国际专家联合审议小组”为核心的日籍专家团队的联合会诊,以及河北一洲肿瘤医院院内多学科专家团队(MDT)的智慧碰撞。
目前,这种“国际专家联合审议小组+院内MDT”的模式,已成为每一位入院河北一洲肿瘤医院患者诊疗方案制定的“固定流程”。它确保每一位患者,无论是常见肿瘤还是罕见病,都能获得一个基于全球前沿视野和多学科智慧的、个体化的治疗方案。
未来,河北一洲肿瘤医院将继续秉持“精准医疗,让生命延续”的使命,继续联合国内外顶尖专家,深化MDT诊疗模式。同时,医院也将持续在国际学术舞台上分享临床经验与研究成果,积极推动与国际前沿技术接轨,为更多肿瘤患者康复保驾护航。

                    




